PROTESI IMPLANTARI IN MOLISE
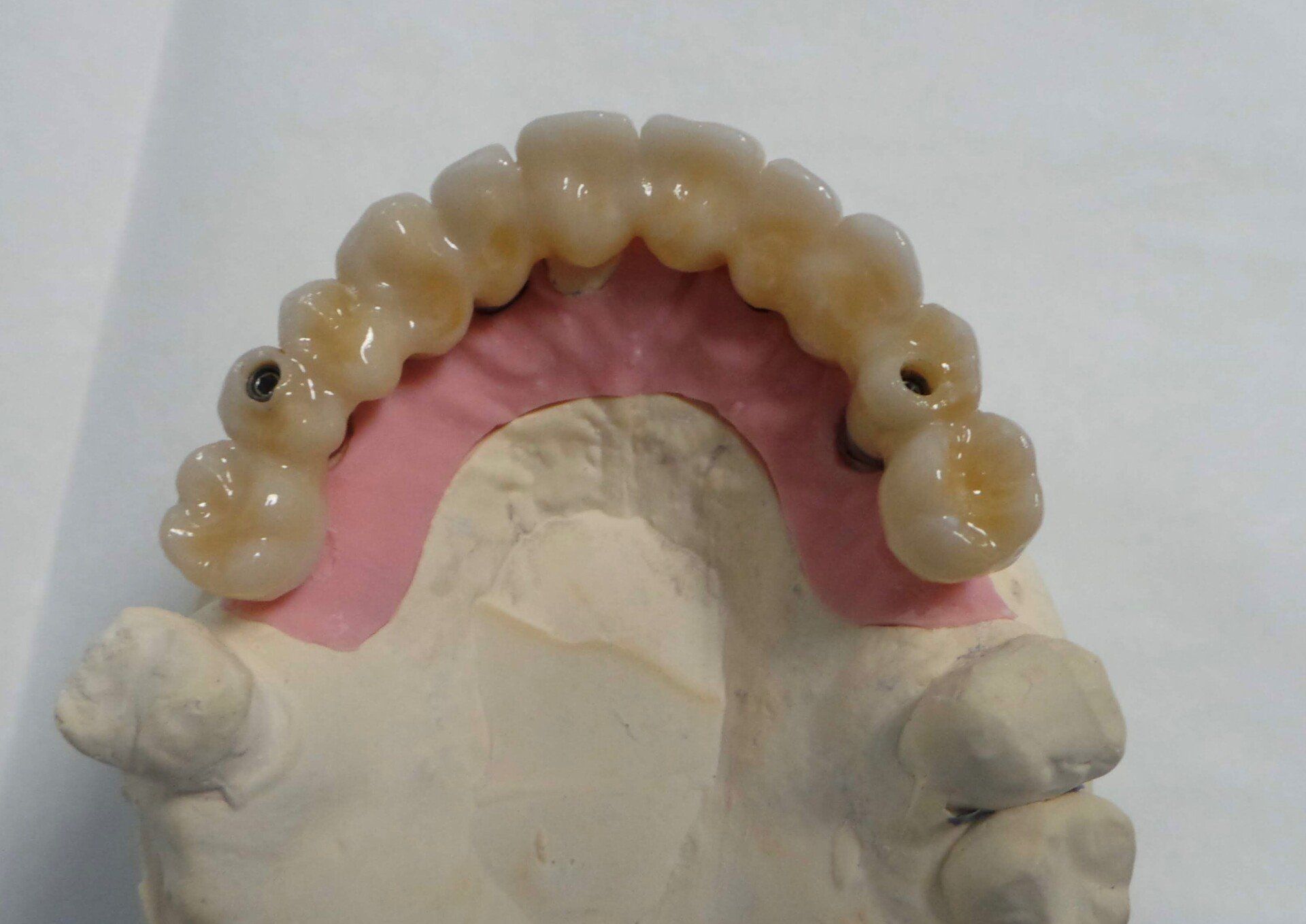
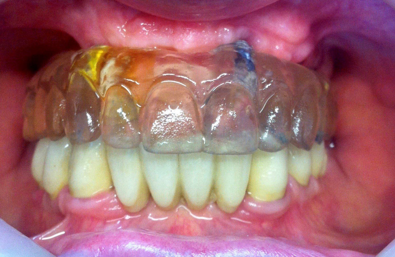
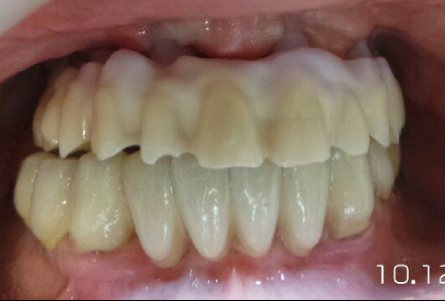
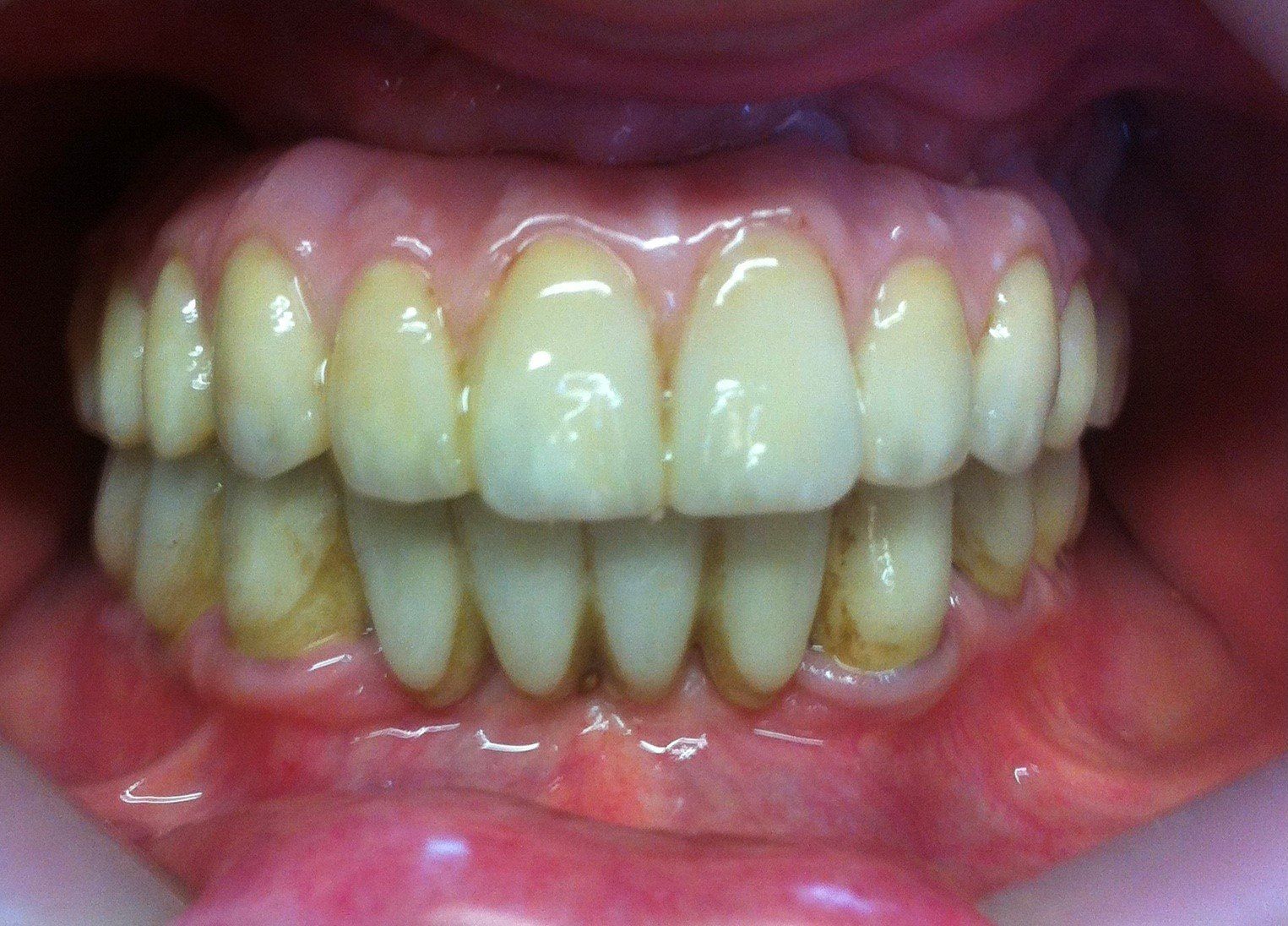
Laboratorio odontotecnico specializzato nella realizzazione di sovrastrutture implantari e nella riabilitazione estetica, Alfadent è un polo all’avanguardia nel suo ambito d’intervento.
Qui, infatti, ci dedichiamo con inesausta passione, con professionalità e con uno sguardo sempre volto al futuro e all’innovazione tecnologica alla costruzione di protesi in ceramica e strutture in ossido di zirconia esteticamente perfette e progettate per durare nel tempo su sovrastrutture metalliche fresate con tecnologia CAD-CAM.
L'affermato laboratorio di odontotecnica con sede a Campobasso Alfadent continua oggi come in passato a vantare un primato nel suo settore per l’avanguardia dimostrata in ambito tecnologico.
Grazie a continui aggiornamenti, i professionisti che quotidianamente lavorano nel nostro laboratorio sono in grado di realizzare, con i migliori materiali disponibili, protesi implantari di qualità.
Gli standard qualitativi che rispettano i nostri dispositivi medici su misura, parziali - totali, fissi e ortodontici, si riferiscono sia all’aspetto estetico, mai trascurabile, sia a quello funzionale.
Le più recenti e innovative tecnologie al servizio della scienza odontotecnica ci consentono, infatti, di ridurre da una parte i tempi di realizzazione delle nostre protesi implantari, dall’altro i rischi di ogni sorta su ciascun paziente.

















